Oral health is not just about having a bright smile or fresh breath. In fact, it’s much more than that. Good oral health is a key component of overall health and well-being. It is well-established that there is a direct connection between oral health and overall health, and taking care of your teeth and gums can have a significant impact on your overall health.
The mouth is the gateway to the body, and as such, it is the first point of contact for any pathogens or bacteria that enter the body. Poor oral health can lead to a range of health problems, including heart disease, diabetes, respiratory infections, and even dementia. In this article, we will explore the connection between oral health and overall health, and why taking care of your teeth and gums is so important.
Oral Health and Cardiovascular Disease
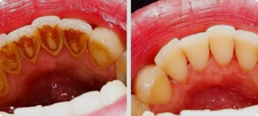
Research has shown that there is a strong link between oral health and cardiovascular disease. Studies have found that people with periodontal disease (a serious gum infection that damages the gums and can lead to tooth loss) are at a higher risk of developing heart disease. The bacteria that cause periodontal disease can enter the bloodstream and cause inflammation, which can lead to atherosclerosis (hardening of the arteries). This, in turn, can increase the risk of heart attack and stroke.
Oral Health and Diabetes
Diabetes is a chronic condition that affects the body’s ability to produce or use insulin effectively. People with diabetes are more prone to infections, and poor oral health can make it even harder to manage the condition. Studies have found that people with periodontal disease are more likely to have uncontrolled diabetes, and that treating periodontal disease can help improve blood sugar control.
Oral Health and Respiratory Infections
Poor oral health can also increase the risk of respiratory infections. The mouth is home to millions of bacteria, and if these bacteria enter the lungs, they can cause infections such as pneumonia. This is especially true for people with gum disease, as the bacteria can easily travel from the mouth to the lungs.
Oral Health and Dementia
Recent research has also suggested a link between oral health and dementia. One study found that people with gum disease were twice as likely to develop Alzheimer’s disease as those with healthy gums. It is thought that the inflammation caused by gum disease may trigger an inflammatory response in other parts of the body, including the brain, which can lead to dementia.
Taking Care of Your Oral Health
So, what can you do to take care of your oral health? The most important thing is to practice good oral hygiene. This includes brushing your teeth at least twice a day with fluoride toothpaste, flossing daily, and using mouthwash to kill bacteria and freshen your breath. It is also important to visit your dentist regularly for check-ups and cleanings. Your dentist can detect early signs of gum disease and other oral health problems, and can provide treatment to prevent them from getting worse.
In addition to good oral hygiene, there are other steps you can take to protect your oral health. Eating a balanced diet that is low in sugar and high in nutrients can help prevent tooth decay and gum disease. Avoiding tobacco products is also important, as smoking and chewing tobacco can cause serious oral health problems, including gum disease and oral cancer.
Conclusion
In conclusion, the connection between oral health and overall health is clear. Taking care of your teeth and gums is not just important for a bright smile and fresh breath, but it is also critical for your overall health and well-being. Poor oral health can increase the risk of a range of health problems, including cardiovascular disease, diabetes, respiratory infections, and dementia. By practicing good oral hygiene, eating a balanced diet, and avoiding tobacco products, you can protect your oral health and improve your overall health and quality







